Blog

WHY DEWORM? Let’s talk about Spirocercosis!

WHY DEWORM? Let’s talk about Spirocercosis!

The Pet Grocer

WHY DEWORM? Let’s talk about Spirocercosis!

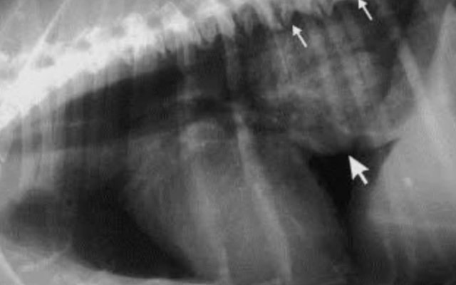
We’ve recently seen more cases of Spirocerca lupi infections at the vet, a dangerous parasitic worm that can be fatal to dogs. Here's what every pet owner needs to know:

What is Spirocercosis?

A parasitic infection caused by the Spirocerca lupi worm. It forms nodules in your dog’s esophagus, which can become cancerous. In severe cases, it causes aortic aneurysms - leading to sudden death. That’s why it’s known as “the silent killer.”

How does my dog get it?

By eating infected dung beetles, or animals like birds or lizards that ate those beetles. Once infected, your dog can spread it further through their feces.

What are the signs?

Often there are no symptoms until it's too late. Watch for:

- Weight loss

- Vomiting or regurgitation

- Difficulty swallowing

- Breathing trouble

- Sudden collapse or death

How is it diagnosed?

Through clinical history, signs, and imaging like endoscopy and X-rays.

How can we prevent it?

Regular deworming! Use trusted products like:

- Milpro
- Milbemax
- Nexgard Spectra
- Advocate Spot-On

WHY DEWORM? Let’s talk about Spirocercosis!

The Pet Grocer

Jianni Erasmus warmly welcomes you to The Pet Grocer in Gansbaai. Her pet store is one of the largest stockists of pet food, care products, and accessories in the Overberg. Specialising in premium-quality dog and cat food, The Pet Grocer proudly supplies top brands, including kibble, wet food, all-n...

View Profile

What is Xplorio?

Xplorio is your local connection allowing you to find anything and everything about a town.

Watch the Gansbaai Video
Read More

Recent Posts

Join The Pet Grocer WhatsApp Group

Join The Pet Grocer WhatsApp Group

Stay connected with everything happening at The Pet Grocer!

The Pet Grocer
Help Calm Your Anxious Pets

Help Calm Your Anxious Pets

The Pet Grocer now stocks Nutricalm - a natural remedy for nervous and anxious dogs and cats.

The Pet Grocer
Cool Treats for Your Furry Friend!

Cool Treats for Your Furry Friend!

Spoil your pet with a healthy, frozen treat!

The Pet Grocer
Moody Master - Calm Drizzle

Moody Master - Calm Drizzle

Just drizzle over their meal and let nature do the rest! 

The Pet Grocer
Doggobone Bone Broth for Dogs and Cats

Doggobone Bone Broth for Dogs and Cats

Give your dog or cat the natural boost they deserve!

The Pet Grocer
Spoil Your Pets This Christmas at The Pet Grocer!

Spoil Your Pets This Christmas at The Pet Gro...

This holiday season, treat your furry friends to something special! 

The Pet Grocer